Implantologie
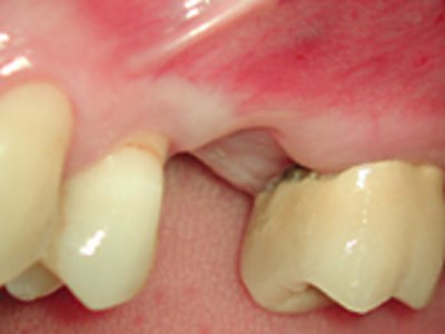
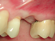
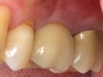
Implantate sind künstliche Zahnwurzeln. Mit Zahnimplantaten kann nach Verlust eines natürlichen Zahnes eine festsitzende Versorgung der Zahnlücke vorgenommen werden. So wird für den Patienten eine kaufunktionelle und ästhetische Situation geschaffen, die der mit natürlichen Zähnen gleich kommt. Soll ein möglichst natürlich aussehendes Ergebnis erreicht werden, muss nicht nur die Positionierung des Implantates strategisch gut geplant werden, sondern auch das Management des Weichgewebes um das Implantat ist von großer Bedeutung. Heute eröffnet der Bereich der mikrochirurgisch durchgeführten plastisch-ästhetischen Parodontalchirurgie hier sehr gute Möglichkeiten.
Team Approach
Eine anspruchsvolle implantologische Versorgung setzt die Zusammenarbeit von einem versierten Team voraus. Nachdem in unserer Praxis die Implantateinbringung und das Weichgewebsmanagement durchgeführt worden sind, wird von Seiten des Hauszahnarztes in Zusammenarbeit mit seinem Technikerteam die restaurative Versorgung (zum Beispiel Krone oder Brücke) vorgenommen.

Die Röntgenüberlagerung zeigt das Implantat, das Foto die klinische Situation.

