Plastisch-ästhetische Parodontalchirurgie
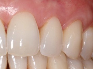
Unter plastisch-ästhetischer Parodontalchirurgie versteht man Eingriffe, die dazu dienen die Funktion und Ästhetik am Zahnfleisch zu verbessern. So können freiliegende Zahnhälse mit einem Zahnfleischtransplantat abgedeckt werden. Dies kann die oft vorliegende Heiß-Kalt-Empfindlichkeit von Zahnhälsen verbessern und die Ästhetik der Lachlinie harmonisieren.
Wird zuviel Zahnfleisch gezeigt beim Lachen ("Gummy Smile") kann dies mit einer Kronenverlängerung korrigiert werden.
Besonders schonend und minimal-invasiv können solche Eingriffe unter dem Mikroskop, also mikro-chirurgisch, durchgeführt werden.
