Zahnfleischtransplantationen
Bindegewebstransplantate
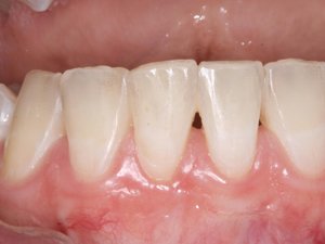
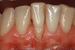
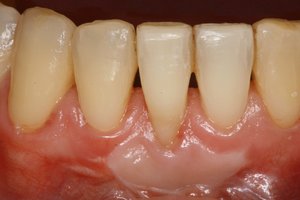
Bindegewebe, welches seitlich am Gaumen entnommen wird, kann benutzt werden, um freiliegende Zahnwurzeln abzudecken. Indikationen für diesen Eingriff können sein: Ästhetische Gründe; fortschreitende Rezessionen; um freiliegende Zahnhälse vor Karies zu schützen; um vor Einbringung einer künstlichen Krone das dünne Zahnfleisch zu verstärken oder um eine kieferorthopädische Behandlung vorzubereiten. Durch Bindegewebstransplantate kann auch die Empfindlichkeit von Zahnhälsen beseitigt bzw. verringert und eine optische Verbesserung des Lachens bewirkt werden.
Freie Gingivatransplantate
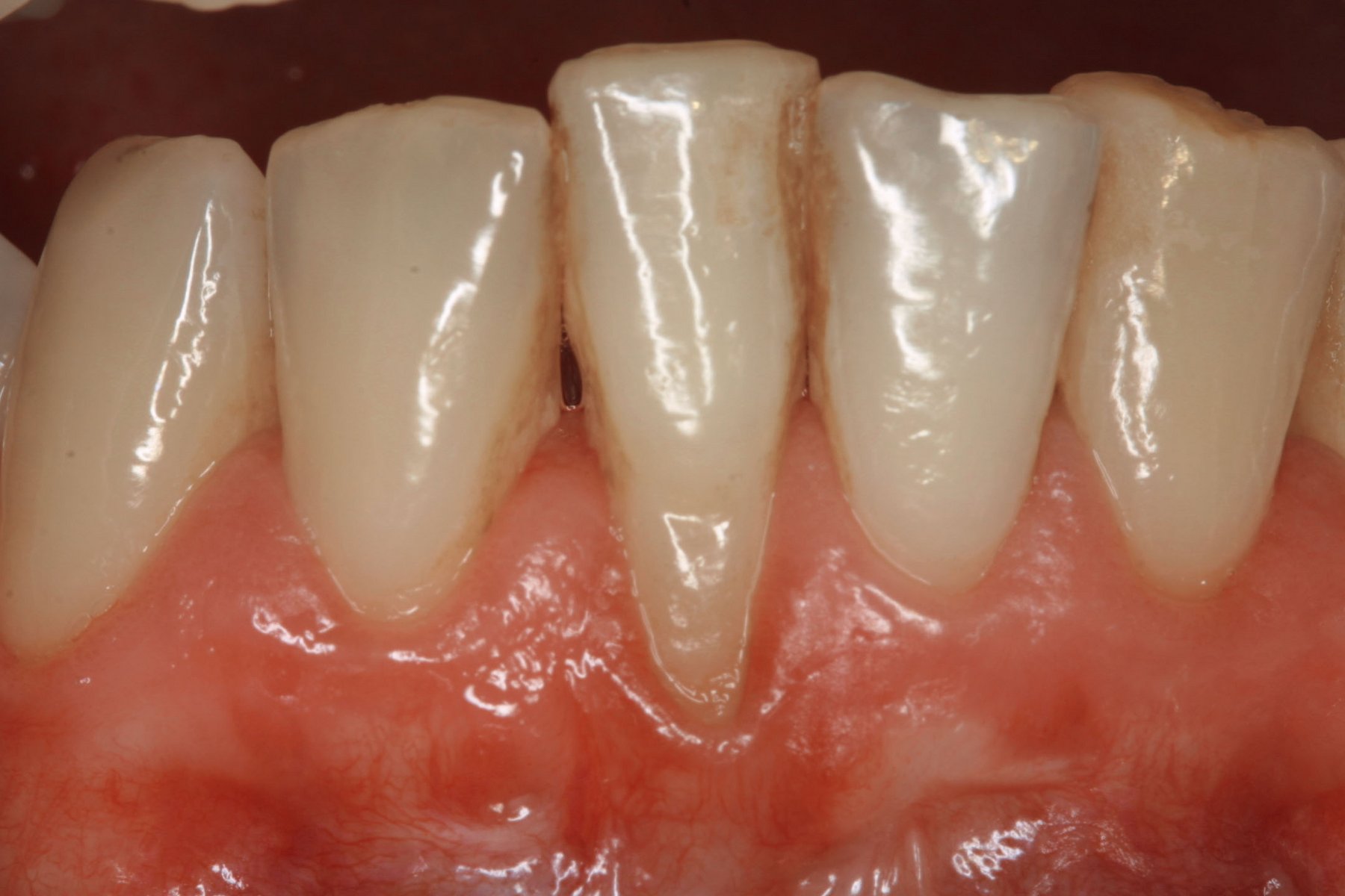
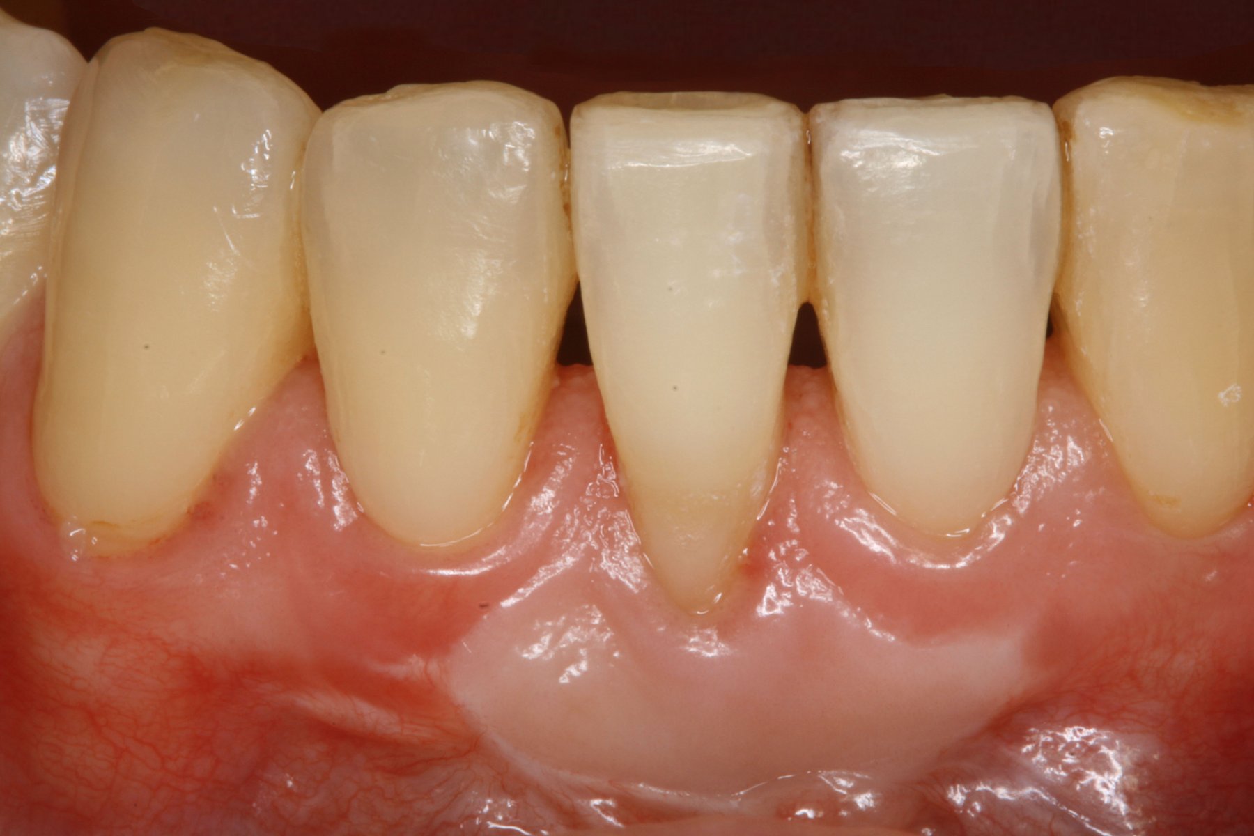
Freie Gingivatransplantate sind eine andere Operationstechnik bei Zahnfleischrückgang. Im Gegensatz zu den vorher beschriebenen Bindegewebstransplantaten bleiben diese Transplantate meistens als hellerer „Patch“ zu erkennen. Welche Operationsmethode zur Anwendung kommt ist von verschiedenen Faktoren abhängig und wird individuell in jedem Fall festgelegt.



