ERROR: Content Element with uid "659" and type "headerimage_content" has no rendering definition!
Unser Leistungsspektrum
Die Praxis ist spezialisiert auf die Fachgebiete der Parodontologie und der Implantologie. Ziel ist der Erhalt der eigenen Zähne und die Gesunderhaltung des Zahnhalteapparates. Wenn eigene Zähne fehlen können zur Erzielung einer optimalen Funktion und Ästhetik Implantate eingebracht werden. Je nach Erfordernis in Verbindung mit Knochen- und Zahnfleischaufbau. Ziel ist ein möglichst natürliches Ergebnis.
Systematische Parodontitis Behandlung
eine in vier Phasen aufgebaute Behandlung.
[Lesen Sie mehr]
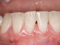
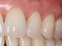
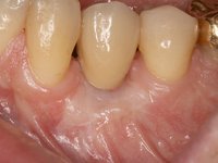
Zahnfleischtransplantationen
Freiliegende Zahnhälse können mit Zahnfleischtransplantaten abgedeckt werden.
[Lesen Sie mehr]
Plastisch-ästhetische Parodontalchirurgie
u.a. Kronenverlängerungen, Harmonisierung der Lachlinie und Zahnfleischtransplantate.
[Lesen Sie mehr]
Implantologie
ermöglicht einen natürlich aussehenden Ersatz von Zähnen.
[Lesen Sie mehr]
Kieferkammaufbau
Einziehungen am Kieferkamm können mit Knochenaufbauten aufgefüllt werden.
[Lesen Sie mehr]
Gesteuerte Geweberegeneration
Heute besteht bei bestimmten Knochendefekten die Möglichkeit eines Wiederaufbaus.
[Lesen Sie mehr]
Unterstützende Parodontal-Therapie (UPT)
Nach Abschluss der aktiven Parodontaltherapie und/oder der Einbringung von Implantaten werden wir für Sie ein individualisiertes Maintenance Programm anbieten um Ihr Zahnfleisch und Ihre Implantate gesund zu erhalten.

Technischer Standard
Folgende Technologien kommen in unserer zahnärztlichen Praxis unter anderem zum Einsatz.
[Lesen Sie mehr]






